Wisdom Tooth Removal

  • Wisdom Tooth Removal Treatment Surat

When Wisdom Tooth Cause Trouble:

They’re called “wisdom teeth,” but when they cause pain, swelling, or jaw stiffness, keeping them doesn’t feel very wise.

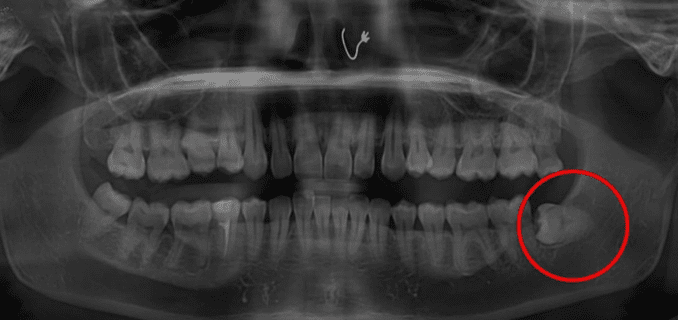
Wisdom teeth, also known as third molars, usually erupt between the ages of 17 and 25. Often, there isn’t enough space in the jaw for them to grow properly. When they erupt at awkward angles or remain trapped beneath the gums, they become impacted, leading to pain, infection, and other oral health issues.

At Summirow Dental Hospital, our experienced dentists perform Wisdom Tooth Removal Treatment in Surat with advanced techniques focused on precision, comfort, and safety. From simple extractions to complex disimpactions, we ensure a smooth procedure and a faster, more comfortable healing process.

Wisdom Tooth Removal-2
Wisdom Tooth Removal-1
Wisdom Tooth Removal
Dental care illustration Summirow Clinic Surat
  • Why Wisdom Teeth removal

Signs You Might Need a Wisdom Tooth Extraction

Not everyone needs to have their wisdom teeth removed. But if you’re experiencing any of the following symptoms, it’s time for an evaluation:

  • Pain or pressure in the back of the jaw
  • Swelling or redness around the gums
  • Repeated infections or abscesses
  • Bad breath or foul taste
  • Headaches or jaw stiffness

Aftercare & Recovery

Post-removal care is key to a quick and comfortable recovery. Our team provides detailed instructions and support, including:

  • Ice packs to reduce swelling
  • Pain management
  • Ice packs to reduce swelling
  • Pain management
  • Soft diet recommendations
  • Guidance on oral hygiene and healing
  • Soft diet recommendations
  • Guidance on oral hygiene and healing
  • Wisdom Tooth Removal

The Treatment Process

Examination & X-ray

Dentist evaluates position of tooth and surrounding structures.

Anesthesia

Local anesthesia (sometimes sedation) is given to numb the area.

Incision

A small cut is made in the gum if the tooth is impacted.

Extraction

The tooth (whole or in parts) is carefully removed.

Bone Removal (if needed)

A small portion of bone may be removed to access the tooth.

Tooth Sectioning (if needed)

Tooth may be divided into pieces for easier removal.

Cleaning & Suture

Area is cleaned, and stitches may be placed if required.

Post-op Care

Gauze applied for clotting, with aftercare instructions given.

  • WHY CHOOSE US

Why Choose Summirow Dental for Wisdom Tooth Removal?

Whether it’s a straightforward extraction or a complex disimpaction, we’re fully equipped to handle it in-house so you avoid multiple referrals or travel.

Why choose Summirow Dental Clinic Surat Gujarat
  • Experienced oral and maxillofacial surgeons
  • In-house CBCT for precise diagnosis
  • Smooth recovery guidance and post-op support
  • Painless procedures with local anesthesia or sedation
  • Hospital-grade sterilization and surgical protocols
  • Flexible appointment slots, including weekends, to suit your busy schedule
  • Myths Vs Facts

Myths vs Facts

  • Myth: All wisdom teeth must be removed. Fact: If they’re healthy, fully erupted, and not causing crowding, removal isn’t always necessary.
  • Myth: Wisdom tooth removal is extremely painful. Fact: With modern techniques, the procedure is safe, comfortable, and quick.
  • Myth: Recovery takes weeks. Fact: Most people heal within a few days with the right care.

Don’t Wait Until It Hurts

Ignoring wisdom tooth problems can lead to infections, cysts, and damage to surrounding teeth. Early diagnosis and timely removal are the best ways to avoid complications.

  • Google reviews

What Families Say About Us ​

  • Image Gallery

Choose wisely, See the Difference

wisdom-beforewisdom-after
Before
After