- Restore Your Smile, Function & Confidence
Best Full Mouth Dental Treatment in Surat
- We Welcome Second Opinions!
Personalized Smile Makeover in Surat,
What You Get:
Get a complete Smile Makeover in Surat. A detailed evaluation of your oral health, personalized treatment planning, and expert guidance to restore your smile’s function, comfort, and aesthetics.
Advanced Digital Dental X-rays & Smile Evaluation
One-on-One Consultation with Our Dental Expert
Personalized Full Mouth Rehabilitation Plan
Clear & Transparent Treatment Cost Breakdown
- We Welcome Second Opinions!
During Your FMR Smile Consultation, You Will Receive:
999 ₹
- Advanced Digital Dental X-rays & Smile Evaluation
- One-on-One Consultation with Our Dental Expert
- Personalized Full Mouth Rehabilitation Plan
- Clear & Transparent Treatment Cost Breakdown
Know All About Complete Dental Makeover in Surat
Get Best Damaged Teeth Treatment in Surat
- No more hiding your smile because of damaged, missing, or worn teeth. Our damaged teeth treatment in Surat with Full Mouth Rehabilitation restores both the appearance and function of your teeth, helping you smile confidently again.
Regain Your Oral Health
- FMR combines multiple treatments like crowns, implants, veneers, and bite correction to rebuild your entire smile and improve chewing, speech, and overall oral health.
Save Time & Get Complete Care
- With advanced technology and a comprehensive treatment plan, we restore your full smile in a structured and efficient way, all under one roof with expert dental care.

- Real smiles, real experiences, and real transformations shared by our patients.
Patient Stories

Why Choose Summirow Dental Clinic for Full Mouth Rehabilitation in Surat?
Expert Care by Dr. Ushma Kakkad
14+ years of experience and 5,400+ successful implants, delivering trusted and precise smile restorations.
Complete Care Under One Roof
Consultation, diagnosis, implants, crowns, and full smile restoration, all at one clinic.
Personalized Smile Design
Every FMR treatment is customized to restore your bite, function, and natural-looking smile.
Advanced Dental Technology
Modern digital dentistry ensures accurate planning and long-lasting results.
Comfortable & Transparent Treatment
Clear treatment plans, transparent pricing, and patient-friendly care throughout your journey.
Best Full Mouth Rehabilitation in Surat
- Personalized FMR treatment plan for every patient
- Combination of implants, crowns, veneers & bite correction
- Advanced digital smile design technology
- High-quality, long-lasting dental materials
- Focus on restoring function, aesthetics & bite balance
- Comfortable and patient-friendly procedures
- Complete treatment under one roof
- Transparent treatment planning & guidance
Typical Dental Clinics
- Same treatment approach for most patients
- Limited options for full mouth restoration
- Focus only on single treatments instead of full rehabilitation
- Less personalized smile planning
- Standard materials with limited longevity
- May require visiting multiple clinics for treatments
- Limited focus on bite correction and facial aesthetics
- Unclear treatment steps or planning

- Meet CEO
Dr. Ushma K Kakkad
Chief Dentist & Implantologist, FICOI
Chief Dentist & Implantologist, FICOI
Chief Dentist & Implantologist, FICOI
Dr. Ushma specialises in cosmetic dentistry, implantology ensuring that each patient receives personalised and exceptional care.
Experience
Experience
Implants
Implants
Member
Member
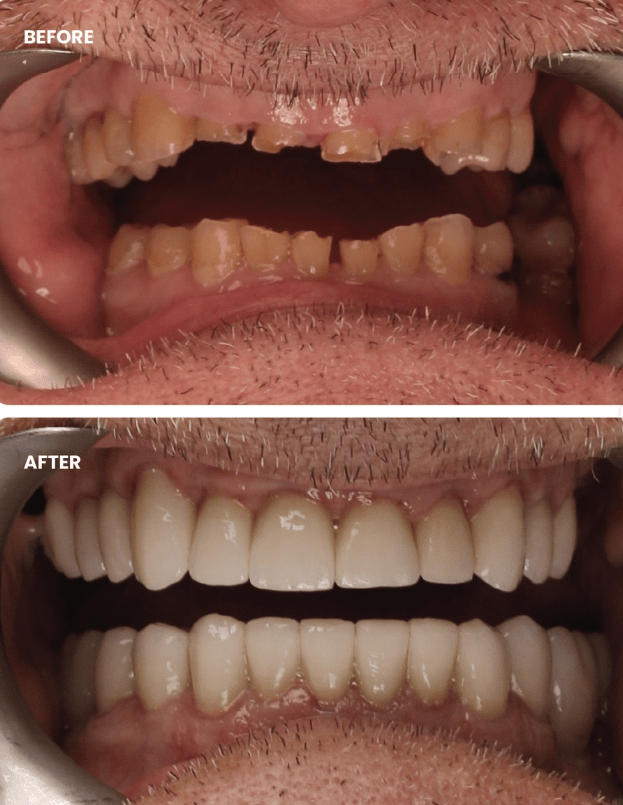
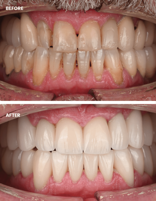
- Life-Changing Results
FMR - Before/After



- Best damaged teeth treatment in Surat
Get Top full mouth dental treatment in Surat
At Summirow Dental Clinic, we believe every patient deserves a healthy, confident smile. Our approach to full mouth dental treatment in Surat focuses on restoring damaged, worn, or missing teeth while improving bite, function, and overall smile aesthetics in a natural and comfortable way.
For us, full mouth rehabilitation in Surat is more than just treatment, it’s a complete transformation of your oral health and confidence. We combine advanced solutions like dental implants, crowns, veneers, and precise bite correction to rebuild your smile with long-lasting, natural-looking results. Patients looking for damaged teeth treatment in Surat or a refined smile makeover in Surat benefit from our personalized and detail-oriented care.
Led by Dr. Ushma Kakkad – Chief Dentist & Implantologist, with 14+ years of experience and 5,400+ successful implants, every plan is carefully customized based on your dental condition, facial structure, and individual needs. Whether it’s restoring function or achieving a complete dental makeover in Surat, our focus remains on delivering results that look as natural as they feel.
Our goal is to help you enjoy comfortable chewing, balanced bite alignment, improved oral health, and the confidence to smile freely again.
Select an Option to Learn More
Full Mouth Rehabilitation (FMR)
Full Mouth Rehabilitation is a comprehensive treatment designed to restore damaged, worn, or missing teeth while improving bite function and smile aesthetics.
At Summirow Dental Clinic, FMR combines treatments like implants, crowns, bridges, and smile design to rebuild your complete smile.
Best For:
• Multiple missing teeth
• Severely worn or broken teeth
• Bite problems or jaw discomfort
• Old failing dental work
Estimated Investment:
₹1.5L – ₹6L depending on implants, crowns, and complexity.
Care & Longevity:
With proper oral hygiene and regular dental visits, FMR restorations can last 10–20 years or longer.

Dental Implants
Dental implants replace missing teeth by placing a titanium root in the jawbone and attaching a natural-looking crown.
They function and feel like real teeth and prevent bone loss.
Best For:
• Single missing tooth
• Multiple missing teeth
• Full mouth tooth replacement
Price Comparison:
Typical clinics: ₹25,000 – ₹40,000 per implant
Summirow Dental Clinic: Premium implant systems with expert placement and personalized planning.
Care:
• Brush and floss daily
• Routine dental check-ups
• Can last 20+ years with proper care.

Crowns & Bridges
Crowns restore damaged teeth while bridges replace one or more missing teeth by anchoring to nearby teeth.
They improve chewing ability, tooth strength, and smile appearance.
Best For:
• Broken or weak teeth
• Teeth after root canal
• Missing tooth replacement
Price Range:
₹6,000 – ₹20,000 depending on material (metal ceramic, zirconia, etc.)
Care:
• Maintain good oral hygiene
• Avoid biting extremely hard foods
• Regular dental checkups.

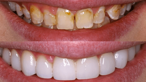
Smile Design
Smile Design focuses on improving the shape, color, and alignment of your teeth to enhance facial aesthetics.
Treatments may include veneers, whitening, orthodontics, or cosmetic bonding.
Best For:
• Stained or discolored teeth
• Gaps or uneven teeth
• Cosmetic smile improvement
Price Range:
₹10,000 – ₹40,000 per tooth depending on treatment type.
Care:
• Maintain oral hygiene
• Avoid staining foods and smoking
• Regular dental cleaning.

Frequently Asked Questions
Is Full Mouth Rehabilitation painful?
No. Modern dental technology and advanced anesthesia techniques ensure comfortable treatment.
How long does FMR take?
Treatment duration varies from few weeks to several months depending on procedures involved.
Are dental implants safe?
Yes. Dental implants are one of the most reliable and long-lasting tooth replacement options in modern dentistry.
How long do results last?
With proper care and regular dental visits, restorations can last 10–20 years or more.
Pain relief at any hourBest‑in‑class aligner therapy in GujaratSame‑day crownsImplants, Aligners, FMR, Oral Surgery, Endo, Ortho, Perio, Pedo, Prostho, LaserAcross Gujarat Remote guidanceTreatment without clinic visits
24 × 7 Emergency Dental Care Clear Aligners Centre Digital Smile Designing (DSD) All Specialties In‑House Online Video Consultation Aligner Kit Home DeliveryEMI Option available Wheelchair facility available
- Why Choose Us
Why Choose Summirow Dental Clinic
✔ Dr. Ushma Kakkad – Implantologist with 14+ years experience
✔ 5,400+ successful dental implants
✔ Advanced digital dentistry technology
✔ Personalized smile design planning
✔ Premium quality dental materials
✔ Complete dental care under one roof
✔ Trusted by patients for long-lasting results
15+ Years
- Trusted Dental Experience
Our Locations
- Convenient locations designed for your comfort
- view locations
Schedule Hours
- Weekdays 09:00 - 21:00
- Saturday 09:00 - 17:00
- Sunday Closed
