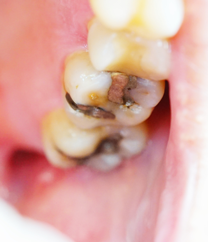
Dental fillings are restorative treatments designed to repair teeth affected by cavities, cracks, or minor damage. The decayed area is carefully removed and replaced with a durable, biocompatible material that restores strength, function, and appearance.
At Summirow Dental Clinic, we focus on conservative treatment, preserving as much of your natural tooth as possible while delivering long-lasting results.
A small cavity may not hurt today, but it can quietly weaken your tooth from within. Slight sensitivity, a faint dark mark, or food getting stuck repeatedly are often the first warnings. When left untreated, these minor issues can progress into severe decay, infection, or even tooth loss.
Choosing the best dental filling in Surat at the right time helps protect your natural teeth and saves you from complex treatments later.



Early diagnosis allows us to provide the best dental filling in Surat before the problem worsens. You may require a dental filling if you notice any of the following:
At Summirow Dental Clinic, we recommend filling materials based on tooth location, durability, and aesthetics. Each option is selected to ensure comfort, strength, and natural appearance.
Blend seamlessly with your natural teeth and are ideal for visible areas
Release fluoride and are commonly used near the gumline or for children
Short-term solutions used during emergency care or staged treatments
Postponing a simple filling allows bacteria to travel deeper into the tooth, often leading to nerve damage. This can result in root canal treatment or crowns- procedures that are more invasive and costly.
Choosing early treatment at Summirow Dental Clinic ensures you receive the best dental filling in Surat while preserving your tooth structure.
Fact: With modern techniques and anesthesia, the procedure is quick and virtually painless
Fact: Tooth decay often progresses silently- early treatment prevents major damage
Fact: Today’s composite fillings offer excellent strength and a natural look
Fact: Cavities grow over time- early fillings protect your natural tooth

We make your dental filling experience smooth, quick, and stress-free. Most fillings are completed in a single visit under local anesthesia with minimal recovery time.


We use modern, tooth-colored materials that bond securely with your enamel. No visible metals, no unnecessary drilling-just clean, aesthetic restorations designed to last and protect your smile.
At Summirow Dental Clinic, we believe preventive care is the key to lifelong oral health.
Our expert team delivers precise, pain-free treatments using advanced technology and proven materials.
If you’re looking for the best dental filling in Surat, trust a clinic that prioritizes comfort, accuracy, and long-term results-because every healthy smile starts with timely care.
EXCELLENT Based on 1923 reviews Posted on D P ShegekarTrustindex verifies that the original source of the review is Google. Dental treatment including implant were good and clinic staff is supportivePosted on PARV SANTNOOMTrustindex verifies that the original source of the review is Google. Definitely a good choice I done to choose Summirrow for my oral treatment.Posted on Madhu BordiaTrustindex verifies that the original source of the review is Google. It was really nice experience. Dr Ushma Kakkad was really nice and my filling was done painlessly.Posted on Manjuben LukhuiTrustindex verifies that the original source of the review is Google. Aa clinic na doctor ni service ane behaviour pn saro chePosted on Denisha PatelTrustindex verifies that the original source of the review is Google. Excellent service Friendly environmentPosted on Mitesh ShukalTrustindex verifies that the original source of the review is Google. I had a great consultation at Summirow Dental Clinic with **Dr. Ushma Kakkad**. She explained everything clearly and patiently, and I didn’t feel rushed at all. She also showed me the **iTero scan** and guided me properly about **Invisalign** treatment options, timelines, and what to expect. The clinic is very clean, the staff is polite, and the overall experience felt professional and premium. Highly recommended!Posted on Tejal TadviTrustindex verifies that the original source of the review is Google. Very nicePosted on Rohit PatelTrustindex verifies that the original source of the review is Google. Best dental hospital in vesu surat and dr ushma kakkad well treated for dental scaling one time you can visitPosted on Virendra ShardaTrustindex verifies that the original source of the review is Google. I recently visited summirow dental and thank you to drushma kakkad for best pain free root canal treatmentPosted on Prashant KalsariyaTrustindex verifies that the original source of the review is Google. ExcellentVerified by TrustindexTrustindex verified badge is the Universal Symbol of Trust. Only the greatest companies can get the verified badge who has a review score above 4.5, based on customer reviews over the past 12 months. Read more

