Are you dreaming of a straighter smile but worried about the look and feel of metal braces? Clear aligners offer a comfortable, discreet, and effective solution to align your teeth – so you can smile confidently throughout your treatment.


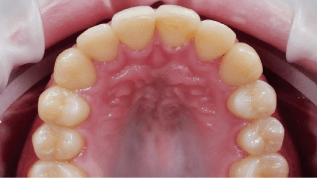
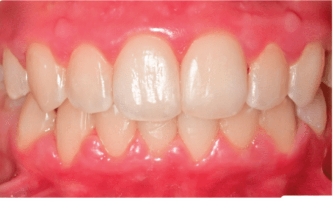
Clear aligners are custom-made, transparent trays that fit snugly over your teeth and gently shift them into place. Unlike traditional braces, they are removable and virtually invisible, allowing you to eat, brush, and floss with ease.
Clear aligners are popular for their comfort, convenience, and the freedom they provide in daily life.
Digital scans and X-rays are used to create a personalized treatment plan.
Receive a series of aligners, each worn for 7 days/15 days depending on individual case.
Aligners are worn 20-22 hours daily; switch to the next set as directed.
Progress is monitored every 6–8 weeks.
After alignment, retainers are provided to maintain your new smile.
Dental implants are a modern, long-term solution for replacing missing teeth. At Summirow, an implant is a biocompatible titanium post placed into the jawbone, where it acts like a natural tooth root. Over time, it securely integrates with the bone through a process known as osseointegration, providing a stable base for a crown, bridge, or denture.
This treatment is ideal for patients with healthy jawbone structure and sufficient healing time. Known for their durability, natural appearance, and functionality, dental implants restore confidence and chewing efficiency -making Summirow a trusted destination for the Best Dental Implants in South Gujarat.



EXCELLENT Based on 1923 reviews Posted on D P ShegekarTrustindex verifies that the original source of the review is Google. Dental treatment including implant were good and clinic staff is supportivePosted on PARV SANTNOOMTrustindex verifies that the original source of the review is Google. Definitely a good choice I done to choose Summirrow for my oral treatment.Posted on Madhu BordiaTrustindex verifies that the original source of the review is Google. It was really nice experience. Dr Ushma Kakkad was really nice and my filling was done painlessly.Posted on Manjuben LukhuiTrustindex verifies that the original source of the review is Google. Aa clinic na doctor ni service ane behaviour pn saro chePosted on Denisha PatelTrustindex verifies that the original source of the review is Google. Excellent service Friendly environmentPosted on Mitesh ShukalTrustindex verifies that the original source of the review is Google. I had a great consultation at Summirow Dental Clinic with **Dr. Ushma Kakkad**. She explained everything clearly and patiently, and I didn’t feel rushed at all. She also showed me the **iTero scan** and guided me properly about **Invisalign** treatment options, timelines, and what to expect. The clinic is very clean, the staff is polite, and the overall experience felt professional and premium. Highly recommended!Posted on Tejal TadviTrustindex verifies that the original source of the review is Google. Very nicePosted on Rohit PatelTrustindex verifies that the original source of the review is Google. Best dental hospital in vesu surat and dr ushma kakkad well treated for dental scaling one time you can visitPosted on Virendra ShardaTrustindex verifies that the original source of the review is Google. I recently visited summirow dental and thank you to drushma kakkad for best pain free root canal treatmentPosted on Prashant KalsariyaTrustindex verifies that the original source of the review is Google. ExcellentVerified by TrustindexTrustindex verified badge is the Universal Symbol of Trust. Only the greatest companies can get the verified badge who has a review score above 4.5, based on customer reviews over the past 12 months. Read more





