Root Canal Treatment in Surat

  • understanding Root Canal (RC) Treatment in surat

Don’t Remove the Tooth - Revive It

That sharp sting while sipping something hot or the sudden pain when chewing isn’t always a sign that a tooth needs extraction. In many cases, it simply needs the right treatment.

At Summirow Dental Clinic, we provide advanced Root Canal (RC) Treatment in Surat designed to relieve pain, remove infection, and save your natural tooth comfortably and safely.

Root Canal Treatment in surat
Expert Root Canal Treatment in surat
Dental care illustration Summirow Clinic Surat
  • when Do RC

When Is a Root Canal the Right Solution?

Your tooth may be giving subtle warning signs long before the pain becomes unbearable. You should consider Root Canal (RC) Treatment in Surat if you experience:

These symptoms often indicate infection or inflammation inside the tooth pulp, usually caused by decay, trauma, or previous dental work. Delaying treatment can lead to abscess formation or permanent tooth damage.

  • How we Work?

Our Root Canal Treatment Process at Summirow Dental Clinic

We follow a precise, step-by-step approach to ensure predictable, pain-free results:

Accurate Evaluation

Digital X-rays and clinical examination help us identify the extent of infection

Comfortable Access

Local anesthesia is administered to ensure a stress-free, painless experience

Thorough Cleaning and Disinfection

Infected pulp is removed using rotary instruments and an apex locator.

Secure Sealing of Canals

The cleaned canals are sealed with biocompatible materials to prevent reinfection

Final Tooth Restoration

A protective dental crown is placed to restore strength, function, and appearance

  • Why root canal treatment

Why Choose Root Canal Treatment Instead of Extraction?

Gentle Care. Trusted Expertise.

At Summirow Dental Clinic, Root Canal (RC) Treatment in Surat is not just a procedure-it’s a promise of comfort, precision, and lasting relief. Our experienced dentists, advanced technology, and patient-focused approach help transform a commonly feared treatment into a smooth, confidence-restoring experience.

Saving your tooth is almost always better than replacing it. Root canal therapy helps you:

Why choose Summirow Dental Clinic Surat Gujarat
  • No bleeding
  • No cuts or stitches
  • Highly precise, targeted care
  • Minimal pain during and after treatment
  • No swelling
  • Faster healing and recovery
  • Little to no post-op care required
Best Root canal Treatment in surat

Advanced Root Canal Options We Provide

At Summirow Dental Clinic, we customize treatment based on your condition:

  • Single-Sitting Root Canal Treatment for suitable, uncomplicated cases
  • Re-Root Canal Treatment (Re-RCT) for teeth that require correction after previous RCT

Our goal is to deliver dependable Root Canal (RC) Treatment in Surat with long-term success.

Frequently Asked Questions

Is root canal treatment painful?

Answer: Modern techniques and anesthesia make the procedure virtually painless. Most patients feel relief, not discomfort.

Answer: Yes, single-sitting root canal treatment is safe and effective for select cases.

Answer: In most cases, yes. A crown protects the treated tooth from fractures and restores full function.

Answer: Re-RCT is a repeat root canal procedure done when a previously treated tooth develops infection again.

Answer: With proper care and a crown, it can last many years—often a lifetime.

Answer: Yes. Temporary relief does not mean the infection is gone. Delaying treatment can worsen the condition.

  • Google reviews

What Families Say About Us ​

  • Image Gallery

Choose wisely, See the Difference

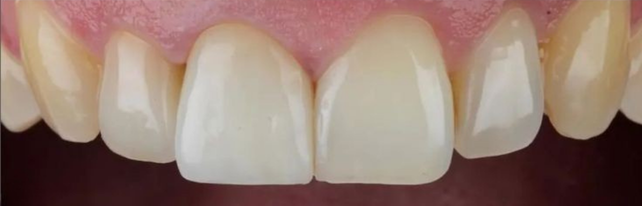
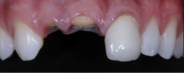
Before Root canal TreatmentAfter Root canal Treatment
Before
After
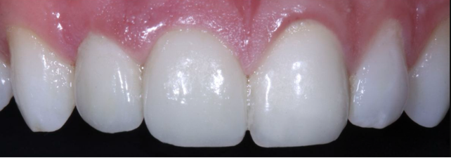
After best Root canal Treatment
Before
After
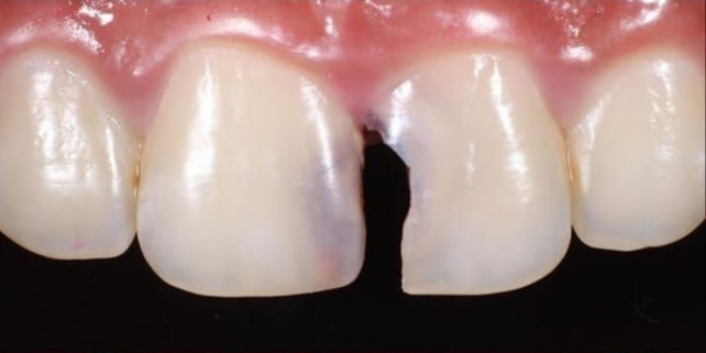
Before root canal treatment in Surat Summirow DentalAfter best Root canal Treatment IN SURAT
Before
After
  • Video Gallery

Know More About Dental Implants