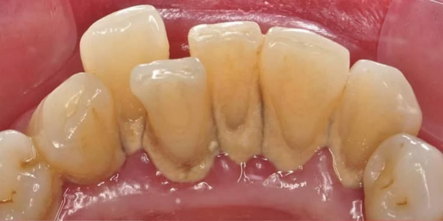
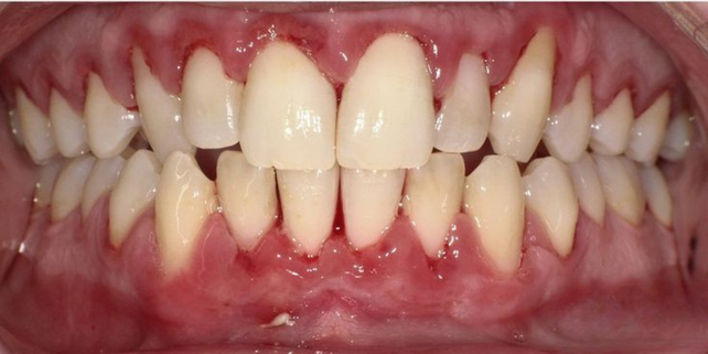
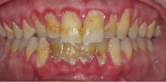
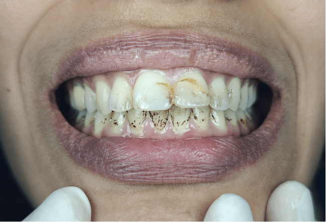
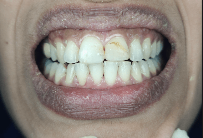
Even with daily brushing and flossing, some plaque and stains don’t go away on their own. Professional scaling and polishing gently remove these deposits, leaving your teeth cleaner, smoother, and noticeably fresher.
At Summirow Dental Hospital, we proudly provide the Best Dental Scaling and Polishing in Surat using modern techniques for maximum comfort. Our Painless Scaling and Polishing Dental Treatment in Surat helps maintain healthy gums, prevent dental issues, and keep your smile bright and confident.
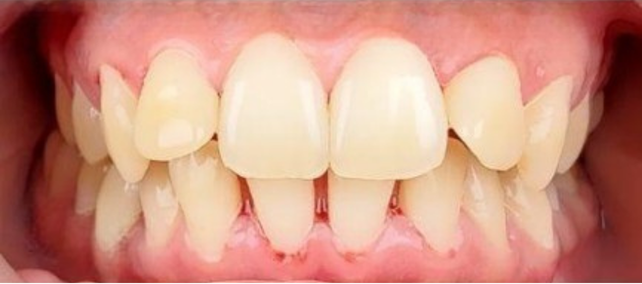
This combination not only improves oral hygiene but also gives your smile a visibly cleaner and brighter appearance.



Dental scaling and polishing helps remove stubborn plaque, tartar, and surface stains that regular brushing can’t reach, reducing the risk of cavities and gum disease. This treatment leaves your teeth visibly cleaner, smoother, and brighter, while also promoting healthier gums and fresher breath, making it an essential step in maintaining long-term oral health.


EXCELLENT Based on 1923 reviews Posted on D P ShegekarTrustindex verifies that the original source of the review is Google. Dental treatment including implant were good and clinic staff is supportivePosted on PARV SANTNOOMTrustindex verifies that the original source of the review is Google. Definitely a good choice I done to choose Summirrow for my oral treatment.Posted on Madhu BordiaTrustindex verifies that the original source of the review is Google. It was really nice experience. Dr Ushma Kakkad was really nice and my filling was done painlessly.Posted on Manjuben LukhuiTrustindex verifies that the original source of the review is Google. Aa clinic na doctor ni service ane behaviour pn saro chePosted on Denisha PatelTrustindex verifies that the original source of the review is Google. Excellent service Friendly environmentPosted on Mitesh ShukalTrustindex verifies that the original source of the review is Google. I had a great consultation at Summirow Dental Clinic with **Dr. Ushma Kakkad**. She explained everything clearly and patiently, and I didn’t feel rushed at all. She also showed me the **iTero scan** and guided me properly about **Invisalign** treatment options, timelines, and what to expect. The clinic is very clean, the staff is polite, and the overall experience felt professional and premium. Highly recommended!Posted on Tejal TadviTrustindex verifies that the original source of the review is Google. Very nicePosted on Rohit PatelTrustindex verifies that the original source of the review is Google. Best dental hospital in vesu surat and dr ushma kakkad well treated for dental scaling one time you can visitPosted on Virendra ShardaTrustindex verifies that the original source of the review is Google. I recently visited summirow dental and thank you to drushma kakkad for best pain free root canal treatmentPosted on Prashant KalsariyaTrustindex verifies that the original source of the review is Google. ExcellentVerified by TrustindexTrustindex verified badge is the Universal Symbol of Trust. Only the greatest companies can get the verified badge who has a review score above 4.5, based on customer reviews over the past 12 months. Read more







