
6th Floor,Western Vesu Point, Opp. S.B.I. Bank, Next to Reliance Market, Vesu Char Rasta, Vesu Surat – 395 007.
6th Floor,Western Vesu Point, Opp. S.B.I. Bank, Next to Reliance Market, Vesu Char Rasta, Vesu Surat – 395 007.

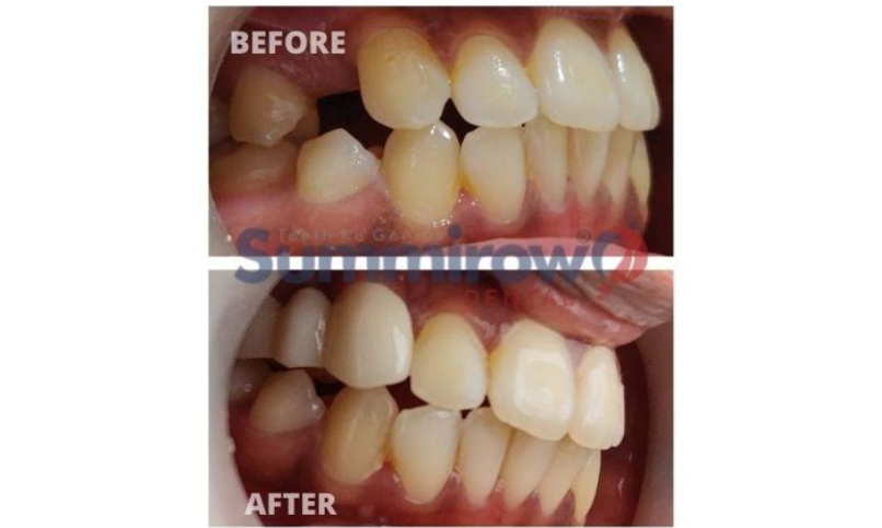
A chipped front tooth? A missing molar? Or perhaps a worn-down smile that’s lost its strength?
At Summirow Dental Hospital, our crowns and bridges service is designed to do more than fix teeth – it restores function, beauty, and most importantly, your confidence.

Together, they offer a reliable, long-term solution for restoring your bite, smile, and speech clarity.
You may need a crown if you have:
You may need a bridge if you:
The tooth (or adjacent teeth) is shaped gently to receive the crown or bridge.
No messy impressions. We use digital intraoral scanners for precise measurements.
We fix the crown or bridge with medical-grade cement and check your bite.
Everything is customized for comfort, durability, and aesthetics.
Natural-looking results with ceramic, zirconia, or metal-free options
Long-lasting strength and chewing support

Non-surgical, quick restoration of missing teeth
Improved bite, speech, and jaw alignment
At Summirow, we ensure your restoration blends seamlessly with your natural teeth – both in function and appearance.
No. The procedure is usually done under local anesthesia. Most patients report minimal discomfort.
Yes, once it’s fully placed and settled, your chewing function is fully restored.
Floss, interdental brushes, and oral irrigators help maintain hygiene.
With proper care, they can last over a decade.
You don’t have to live with broken or missing teeth. Whether you need protection, replacement, or a confidence boost – crowns and bridges at Summirow Dental offer a time-tested solution that feels natural and lasts long.
We always take care of your smile
How Can We Help You?
WhatsApp us
