
6th Floor,Western Vesu Point, Opp. S.B.I. Bank, Next to Reliance Market, Vesu Char Rasta, Vesu Surat – 395 007.
6th Floor,Western Vesu Point, Opp. S.B.I. Bank, Next to Reliance Market, Vesu Char Rasta, Vesu Surat – 395 007.



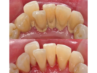
Even if you brush and floss daily, some stains and plaque just won’t go away on their own. That’s where professional scaling and polishing comes in. A gentle, effective treatment that goes beyond your routine oral care to give your teeth a fresh start.
At Summirow Dental Hospital, we believe a healthy smile begins with clean teeth and healthy gums. Scaling and polishing is one of the most recommended preventive and cosmetic procedures that instantly enhances the look and feel of your teeth.
Scaling removes stubborn plaque, tartar, and calculus deposits from above and below the gumline using ultrasonic scalers and hand instruments.
Polishing smooths the surface of your teeth to eliminate stains and create a polished, glossy finish.
This combination not only improves oral hygiene but also gives your smile a visibly cleaner and brighter appearance.
Scaling and polishing are ideal for:

Most patients benefit from professional cleaning every 6 months, though those with gum issues or stain-prone habits may require it more frequently.
No. It’s a non-invasive, comfortable procedure. Some mild sensitivity may occur if there’s heavy tartar, but it’s temporary.
While it doesn’t bleach the teeth, it removes surface stains making your teeth look visibly cleaner and brighter.
Yes. Polishing smooths tooth surfaces, making it harder for plaque and bacteria to stick and easier to maintain oral hygiene.
Yes, but it’s advisable to avoid staining foods and very hot or cold items for a few hours.
No. Teenagers and even children with plaque or calculus buildup can also benefit from this treatment.
The entire process usually takes 30–45 minutes and generally requires no anesthesia.
A clean mouth is the foundation of a confident smile. If you’ve been putting off dental cleaning or feeling conscious about stains or breath, now is the time to refresh your oral health.
We always take care of your smile
How Can We Help You?
How Can We Help You?
WhatsApp us
