
6th Floor,Western Vesu Point, Opp. S.B.I. Bank, Next to Reliance Market, Vesu Char Rasta, Vesu Surat – 395 007.
6th Floor,Western Vesu Point, Opp. S.B.I. Bank, Next to Reliance Market, Vesu Char Rasta, Vesu Surat – 395 007.

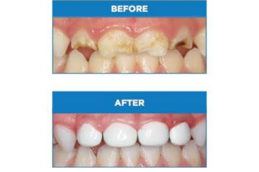
Every child’s smile deserves long-lasting protection, especially after dental procedures like root canals or when decay has weakened the tooth structure. Pediatric dental crowns (also known as pedo crowns) are not just functional, they are guardians of your child’s dental development.
At Summirow Dental Hospital, we offer child-friendly, safe, and aesthetically pleasing pediatric crown solutions tailored for every tiny tooth.
Pedo crowns are custom-made caps placed over a child’s baby tooth to restore its shape, strength, and function. They’re most commonly used after a pediatric root canal or when a tooth is severely decayed and cannot support a regular filling.
These crowns help maintain proper spacing for the permanent teeth, support normal speech and chewing, and most importantly, keep your child smiling confidently.

We understand that no two smiles are the same. That’s why we provide a variety of crown options based on your child’s needs, lifestyle, and aesthetic concerns.
Prevents Premature Tooth Loss: Holds space for permanent teeth and avoids misalignment.
Supports Chewing & Speech: Restores function for proper eating and talking.

Protects Treated Teeth: Prevents re-infection or fractures post-RCT.
Less Dental Anxiety: Aesthetic options like BioFlex make the treatment less stressful and more acceptable to children.
No. The procedure is often done under local anesthesia and is completely pain-free. Our team ensures your child is relaxed and comfortable throughout.
Pedo crowns are cemented with strong dental adhesive and usually stay until the baby tooth falls naturally.
Yes, in cases of extensive decay or after a root canal. They help avoid tooth extraction and keep the mouth functionally balanced.
They generally last until the natural exfoliation of the baby tooth usually several years.
At Summirow Dental, we take pride in offering gentle, expert pediatric dental care. With advanced technology and a compassionate approach, we make every step, from diagnosis to crown placement, easy for both kids and parents.
Let your child’s smile shine, protected and pain-free.
We always take care of your smile
How Can We Help You?
WhatsApp us
