
6th Floor,Western Vesu Point, Opp. S.B.I. Bank, Next to Reliance Market, Vesu Char Rasta, Vesu Surat – 395 007.
6th Floor,Western Vesu Point, Opp. S.B.I. Bank, Next to Reliance Market, Vesu Char Rasta, Vesu Surat – 395 007.

A dental emergency doesn’t come with a warning. One moment you’re fine, and the next, a tooth breaks, a veneer falls off, or a sharp pain makes it hard to eat, sleep, or even speak.
At Summirow Dental Hospital, we understand that when dental issues strike unexpectedly, time is everything. Whether it’s a knocked-out tooth from an accident or a sudden swelling from infection, our team is trained to respond quickly, calmly, and effectively, 365 days a year.
Dental emergencies can come in many forms, and not all are traumatic. If it’s painful, bleeding, affecting your ability to chew or smile, or simply feels “off,” it’s worth addressing immediately.
Common Dental Emergencies:
Whether due to a fall, sports injury, or accident, time is critical. The sooner you reach us, the better the chances of saving your natural tooth.
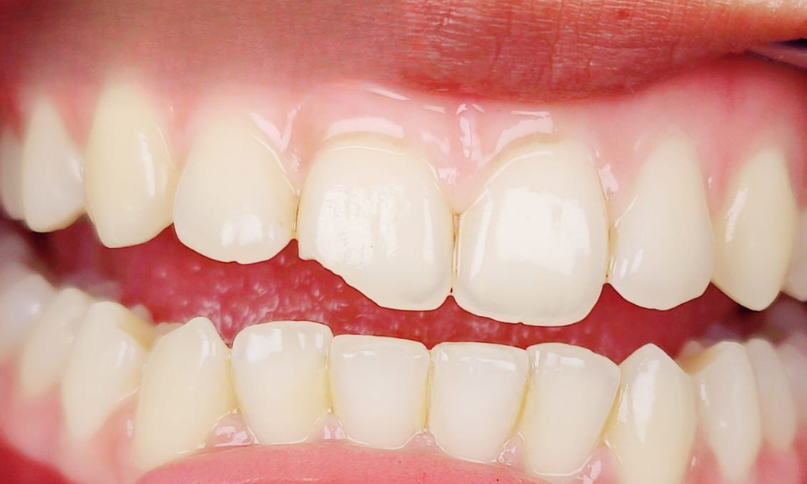
From biting into something hard to unexpected trauma, fractured teeth can expose nerves and lead to infection if not treated promptly.
A damaged or fallen restoration not only affects your smile but can also leave your tooth vulnerable. We offer same-day repairs for many cases.
Sudden gum swelling or pus formation is often a sign of infection. These can spread quickly and require immediate dental attention.
Uncontrolled bleeding is a red flag. Our team is equipped to manage post-procedure complications and trauma-related bleeding efficiently.
A persistent, sharp, or throbbing toothache can indicate deep decay, an abscess, or even a cracked root. Let us diagnose and relieve it before it worsens.
Broken brackets, poking wires, or pain from braces can be both irritating and risky if ignored.
Difficulty in opening your mouth, clicking sounds, or pain in the jaw could be linked to joint dislocation or trauma and should be addressed quickly.
Care That Puts You First: Available 9 AM to 9 PM with on-call emergency care when needed.
Compassionate and Quick Action: We prioritize pain relief, stabilization, and long-term planning from the very first visit.

Hospital-Grade Setup: Equipped with in house CBCT, OPG and sedation for anxious patients.
Experienced Multi-Specialty Team: Endodontist, Oral surgeon and general dentists, all under one roof for immediate diagnosis and treatment.
Until you reach us:

Ignoring a dental emergency can turn a small problem into a major complication. Whether it’s pain, trauma, or uncertainty, you’re just one call away from relief and reassurance.
We always take care of your smile
How Can We Help You?
WhatsApp us
