Benefits of Scaling and Root Planing: Preventing Gum Disease and Tooth Loss
Introduction Healthy gums are the foundation of a healthy smile. Yet, gum disease remains one […]
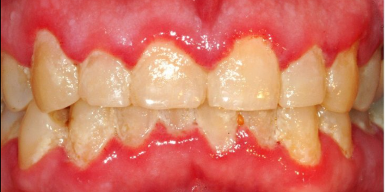
Monsoon Dental Care Guide: Why Deep Cleaning & Gum Therapy Matter During the Rainy Season
Monsoon weather creates the perfect environment for bacteria and fungal growth, leading to multiple monsoon […]
Gum Therapy Explained: Your Best Defense Against Monsoon-Triggered Infections
TL;DR – Gum Therapy Explained: Your Best Defense Against Monsoon-Triggered Infections Monsoon weather increases the […]
Gum Therapy 2025: Breakthrough Advances from Lasers to Regenerative Treatments
Gum disease is no longer treated with scalpels alone. Thanks to gum therapy 2025, dental […]
Are Gum Care Packages Worth It? What’s Included and Why You Need One
When it comes to oral health, most people focus only on teeth but healthy gums […]







